CECO-UMBILICAL FISTULA 3 YEARS AFTER LAPAROSCOPIC APPENDECTOMY: A CASE REPORT
Author's: Neves, Miguel1; Cardoso, Diogo1; Alegre, Inês1; Rebanda, Jorge1
Affiliations: 1 – General Surgery Department – Unidade Local de Saúde Lisboa Ocidental (ULSLO);
ABSTRACT
Appendectomy remains one of the most common surgical procedures in the emergency setting. Cecal stump fistulas are rare but associated with severe morbidity and mortality. The majority of post-appendectomy enterocutaneous fistulas result from stump appendicitis but an unknown ileocecal Crohn’s disease could also lead to such complications. We present a case of a 25-year-old man who presented with a suspected enterocutaneous fistula to the umbilical trocar site on the background of a laparoscopic appendectomy performed 3 years prior. CT imaging with a fistulogram through the umbilical granuloma confirmed the ceco-umbilical fistula. The case was managed with surgical ileocolic resection. Histopathology of the resected specimen revealed findings consistent with chronic nonnecrotizing granulomatous ileocolitis, suggesting Crohn’s disease. To the best of our knowledge, this is the first case reported of a post-appendectomy enterocutaneous fistula to the umbilical trocar site. The unusual timing of presentation, along with the previous appendix histopathology that showed findings compatible with perforated acute necrotizing appendicitis with associated peritonitis but no signs of involvement of the base of the appendix, made stump appendicitis only a remote possible cause. Clinicians and surgeons should have a high suspicion for inflammatory bowel disease in unexplained postoperative cecal stump fistula following appendectomy. Ileocecal resection is an adequate surgical approach in this etiology.
Keyword's: appendicitis, laparoscopic appendectomy, enterocutaneous fistula, ileocecal resection, Crohn’s disease
INTRODUCTION
Acute appendicitis remains one of the most common causes of acute abdominal pain observed in the emergency department and it's usually managed surgically [1].
The advent of laparoscopic surgery and laparoscopic appendectomy promised less complications, including shorter hospital stay, less need for analgesia, early return to work, lower rate of wound infection and overall higher patients’ satisfaction, being increasingly performed worldwide [1,2].
Nevertheless, some complications still occur. In the literature, the most common complications described include bleeding, bowel injury, hernia, abscess formation and stump appendicitis. Cecal fistulas are a rare complication but when they occur are associated with significant and severe morbidity and mortality and may present in a wide range of different locations and different clinical presentations. Enterocutaneous fistulas are one of rarest forms of the condition [3].
Previous studies have found that most post-appendectomy fistulas result from an incomplete appendectomy and stump appendicitis. Other etiological factors that may contribute to the formation of these fistulas include neoplasm of the appendix or cecum, infectious bowel conditions and unknown ileocecal Crohn’s disease [3].
CASE PRESENTATION
We present the case of a 25-year-old male patient admitted to the emergency department in December 2023.
The patient had previously undergone a laparoscopic appendectomy in December 2020, following a two-day duration abdominal pain, initially located in the periumbilical region and migrating to the right iliac fossa with guarding and no fever. Imaging with CT scan showed involvement of the appendix with a large fecalith (26mm), associated adjacent fluid and right colon wall edema close to the ileocecal valve, but no suspicion of Inflammatory Bowel Disease.
A diagnosis of acute appendicitis was made, and laparoscopic appendectomy was performed with the usual technique with three trocar ports (10mm umbilical and left iliac fossa and 5mm hipogastrum). Upon surgical observation, the appendix was gangrenous and with a periapendicular abcess that was drained and sent for microbiologic culture. The appendix was ligated at the base with Endoloop®, cut and extracted with an endobag. The 10mm trocar ports were closed with Prolene® 3/0 suture.
The postoperative period was remarkable for an intrabdominal purulent collection with 65x33 mm in the right iliac fossa that was percutaneously drained and managed with antibiotic therapy with piperacillin and tazobactam, for a seven-day course, based on the isolated agents. The drain was removed on the fifth day post-drainage and the patient was discharged on the thirteenth day postoperatively with the rest of the postoperative period uneventful. Histopathological examination of the resected appendix revealed findings that were consistent with acute necrotizing perforated appendicitis and peritonitis. There were no signs of congestive serosa or fibropurulent areas on the proximal end of the appendix.
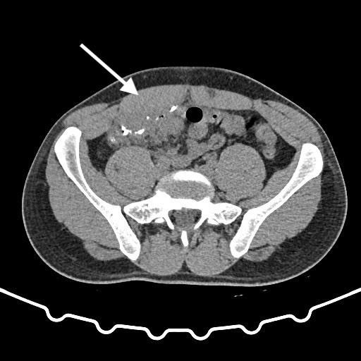
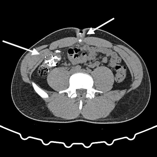
Three years after the appendectomy, the patient returned to the emergency department due to periumbilical pain and erythema that had persisted for three months. On further questioning the patient also reported intermittent diarrhea for one week, with no accompanying vomit or fever. During the physical examination, erythema and pain upon palpation of the umbilicus were observed. The blood tests showed no significant changes. Imaging with a CT scan and fistulogram through the umbilical granuloma allowed for the identification of a fistulous tract to a pericecal collection (figure 1-3). The patient was admitted and started on empiric antibiotic therapy with piperacillin and tazobactam.

Fig. 1-2: CT scan with fistulogram through the umbilical granuloma showing the fistulous tract to the cecum (white arrow) - axial view.

Fig. 3: CT scan with fistulogram through the umbilical granuloma showing the fistulous tract to the cecum (white arrow) - sagital view.
The patient was proposed for surgery and submitted to en bloc ileocecal resection with the fistulous tract and side-to-side mechanic anastomosis with GIA® stapler. The post-operative period was complicated with a large hemoperitoneum managed by a new laparotomy, drainage of 1000cc and surgical resection of the previous anastomosis with new ileocolic mechanic anastomosis. Furthermore, due to a superficial surgical site infection, the wound was opened at bedside and antibiotics given. The patient was discharged without any other complications.
The histopathology of the resected specimen of the ileocolic resection showed findings consistent with chronic nonnecrotizing granulomatous ileocolitis, suggesting Crohn's disease.
The rest of the patient's post-operative recovery was uneventful for 4 months after surgery and is currently waiting for a full colonoscopy to further investigate this etiology.
DISCUSSION
The formation of a cecal fistula post-appendectomy is rare, but significant as the associated morbidity can be devastating. Its frequency is estimated to be about 0.5%, occurring most often in complicated appendicitis. Post-appendectomy enterocutaneous fistula is one of the rarest forms of the condition and has been reported to a wide variety of locations. Usually presenting with a persistent feculent discharge which might, at an early stage, simulate a wound infection but continues despite attempts at drainage and usual dressing care [3, 4].
To the best of our knowledge, this is the first case reported of a post-appendectomy enterocutaneous fistula to the umbilical trocar site.
Enterocutaneous fistulas to the umbilical trocar site after a laparoscopic procedure are incredibly rare and have only been reported twice: in a patient affected by cervical cancer [5], managed conservatively and another with uterine cancer, managed surgically [6]. Several hypotheses were suggested for the formation of the fistula to this location, including direct bowel perforation during fascia closure, and the use of electrosurgery, suggesting that the presence of granulomatous tissue during the cicatrization stage might have promoted adhesions between the colon and the abdominal wall and consequent regional spillage [5-6]. In the case presented, the hypothesis of an unnoticed iatrogenic cecal injury seems unlikely considering the umbilical access port was closed under direct vision of the fascia and the considerable distance between the cecum and the umbilicus. Additionally, no residual stitch was found in the anatomopathological report. However, it is reasonable to consider that an adhesion may have formed, facilitating the formation of a fistula to the umbilicus. This case highlights that although rare, enterocutaneous fistulas may present to the trocar site following laparoscopic surgery and laparoscopic appendectomy.
Cecal fistulas that develop following an appendectomy most commonly manifest on the third to fourth postoperative day. However, delayed fistula formations to the twenty-first postoperative day and even to sixty years after the appendectomy have also been reported in literature [3,7]. The most common cause for fistula formation is stump appendicitis, resulting from an incomplete resection of the appendix. Other contributing etiological factors include neoplasm of the appendix or cecum, infectious bowel conditions, inflammatory bowel disease and distal obstruction [7]. Considering the literature available, these are described for fistulas that manifest in the acute postoperative period but could be applied to the formation of a fistula at any point in the postoperative period [3].
Regarding the technical aspects of surgery, purse-string suture was believed to be a risk factor for the formation of a post-appendectomy fecal fistula due several factors including more mobilization of the cecum, more chances of postoperative adhesions, the possibility of penetration of the bowel with the needle, danger of hematoma formation and necrosis of the cecal wall from diminished blood supply [8]. However, studies have not found a significant statistical difference between techniques of stump ligation and the relation of post appendectomy fistula formation to surgical technique is not well established [9-10]. Nevertheless, in this case the base of the appendix was ligated with endoloop ®.
Thus, considering the unusual timing of presentation, along with the previous appendix histopathology that showed findings compatible with perforated acute necrotizing appendicitis with associated peritonitis but no signs of involvement at the base of the appendix, stump appendicitis is only a remote possible cause. Additionally, other infectious diseases of the bowel that could have been a contributing factor to the formation of a fecal fistula were also ruled out with coprocultures [3,14].
Hence, from the evidence currently available to us, we believe the patient’s fistula was secondary to a previously unknown Crohn’s disease. The histopathology report of the resected ileocecal specimen brought light to the etiology behind this case.
Crohn’s disease is a known cause of up to 1.8% of appendectomies performed [12]. It is characterized by a chronic inflammation of the GI tract manifesting histologically by fissures, ulcers, lymphoid aggregates, nonnecrotizing granulomas and transmural inflammation [12]. The disease usually involves the ileum, colon and perianal region and may involve the appendix either by extension from terminal ileum or caecum or limited to the appendix itself. The clinical presentation in such cases can be variable but usually manifests with acute right iliac fossa pain mimicking acute appendicitis in about 85% of patients. Additionally, the disease can also present with enteroliths such as the fecalith found in this case [12]. The diagnosis of Crohn's disease relies on the combination of clinical manifestations, analytical, radiological and histological findings. However, the diagnostic difficulty arises when the patient has undergone appendectomy for suspected acute appendicitis, in a previously unknown Crohn’s disease atypically located to the appendix. When the preoperative diagnosis is acute appendicitis, Crohn's disease should be suspected when an atypical or protracted clinical course is present, and histological evaluation after surgery is required for a diagnosis.
The incidence rate of the formation of a postoperative enterocutaneous fistula in Crohn’s disease to the appendix has been reported to be 3.5%, whereas in patients with Crohn’s disease that extend to the ileocecal segment it can rise as high as 34% to 58% [11-13]. These patients may require further surgical intervention such as ileocecal resection [14]. While the limited number enterocutaneous fistulas described in literature usually present in the acute postoperatively period, studies show that for Crohn’s disease of the appendix the average interval between surgery and recurrence after appendectomy is 4 years [12]. Additionally, Weston et al reported that most patients whose first presentation of Crohn’s disease simulates appendicitis and undergo appendectomy alone, returned postoperatively within 3 years with symptoms [13].
The management of post-appendectomy enterocutaneous fistulas can be conservative or surgical. Nonsurgical options described in literature include the use of antibiotic therapy, vacuum-assisted closure [15], and the use of monoclonal antibodies (infliximab) in Crohn’s disease-related fistulas [16]. Nonsurgical options can be effective in the absence of underlying pathology. Surgical exploration should be considered when the conservative therapy fails. If Crohn's disease is limited to the appendix, appendectomy alone is a routine surgical procedure with minimal intraoperative or postoperative mortality [14]. In the case presented, we opted for surgical intervention with ileocecal resection en bloc with the fistulous tract, as described in the literature [14].
CONCLUSION
While appendicitis in a patient who was previously diagnosed to have ileocaecal Crohn's can be managed with ileocaecal resection, appendectomy alone when performed for appendicitis in a patient with unsuspected ileocaecal Crohn's disease could lead to postoperative complications including enterocutaneous fistula. Clinicians and surgeons should have a high suspicion for inflammatory bowel disease in unexplained postoperative cecal stump fistula following appendectomy, even in years after the procedure. Ileocecal resection en bloc with the fistulous tract is an adequate surgical approach in these cases.
There is a need for more studies regarding the formation of cecal fistulas years after the appendectomy, including identifying possible contributing factors and if they correlate to the ones already described for the acute postoperative fistula formation.
The reporting of this atypical and rare case may provide useful reference for similar cases in the future.
REFERENCES
[1] Di Saverio S, Podda M, De Simone B, Ceresoli M, Augustin G, Gori A, Boermeester M, Sartelli M, Coccolini F, Tarasconi A, de’ Angelis N. Diagnosis and treatment of acute appendicitis: 2020 update of the WSES Jerusalem guidelines. World journal of emergency surgery. 2020 Dec;15:1-42.
[2] Yu MC, Feng YJ, Wang W, Fan W, Cheng HT, Xu J. Is laparoscopic appendectomy feasible for complicated appendicitis? A systematic review and meta-analysis. International Journal of Surgery. 2017 Apr 1;40:187-97.
[3] Agostinho N, Bains HK, Sardelic F. Enterocutaneous fistula secondary to stump appendicitis. Case Reports in Surgery. 2017 Apr 3;2017.
[4] Lintula H, Kokki H, Vanamo K, Antila P, Eskelinen M. Laparoscopy in children with complicated appendicitis. Journal of pediatric surgery. 2002 Sep 1;37(9):1317-20.
[5] Querleu D, Leblanc E, Cartron G, Narducci F, Ferron G, Martel P. Audit of preoperative and early complications of laparoscopic lymph node dissection in 1000 gynecologic cancer patients. American journal of obstetrics and gynecology. 2006 Nov 1;195(5):1287-92.
[6] Calcagno M, Bellati F, Palaia I, Plotti F, Andrei-Gradinaru N, Musella A, Pastore M, Panici PB. Umbilical port site enterocutaneous fistula after laparoscopy for endometrial malignancy. European Journal of Obstetrics and Gynecology and Reproductive Biology. 2010 Mar 1;149(1):119-20.
[7] Shamim M, Haider SA, Iqbal SA. Case Report Persistent appendiceal faecal fistula following a complicated open appendicectomy. Journal of the Pakistan Medical Association. 2009 Mar 1; 59(3): 181-183.
[8] Baldwin JF. The Prevention of Faecal Fistula After Appendectomy. Annals of Surgery. 1932 May 1;95(5):704-14.
[9] Watters DA, Walker MA, Abernethy BC. The appendix stump: should it be invaginated?. Annals of the Royal College of Surgeons of England. 1984 Mar;66(2):92.
[10] Lavonius MI, Liesjärvi S, Niskanen RO, Ristkari SK, Korkala O, Mokka RE. Simple ligation vs stump inversion in appendicectomy. InAnnales chirurgiae et gynaecologiae 1996 Jan 1, 85(3): 222-224.
[11] Haddad M, Azim F, Koren A, Stelman E, Mor C, Zelikovski A. Crohn's disease of the appendix. The European Journal of Surgery. 1993 Mar;159(3):191-2.
[12] Prieto-Nieto I, Perez-Robledo JP, Hardisson D, Rodriguez-Montes JA, Larrauri-Martinez J, Garcia-Sancho-Martin L. Crohn’s disease limited to the appendix. The American Journal of Surgery. 2001 Nov 1;182(5):531-3.
[13] Weston LA, Roberts PL, Schoetz Jr DJ, Coller JA, Murray JJ, Rusin LC. Ileocolic resection for acute presentation of Crohn's disease of the ileum. Diseases of the colon & rectum. 1996 Aug 1;39(8):841-6.
[14] Machado NO, Chopra PJ, Al Hamdani A. Crohn's disease of the appendix with enterocutaneous fistula post-appendicectomy: An approach to management. North American Journal of Medical Sciences. 2010 Mar;2(3):158.
[15] Cro C, George KJ, Donnelly J, Irwin ST, Gardiner KR. Vacuum assisted closure system in the management of enterocutaneous fistulae. Postgraduate medical journal. 2002 Jun;78(920):364-5.
[16] Peyrin–Biroulet L, Deltenre P, De Suray N, Branche J, Sandborn WJ, Colombel JF. Efficacy and safety of tumor necrosis factor antagonists in Crohn's disease: meta-analysis of placebo-controlled trials. Clinical Gastroenterology and Hepatology. 2008 Jun 1;6(6):644-53.



Comments on this article